Beagles of the Hunting Fellows
Startseite
Über Uns
Der Zwinger
Neuigkeiten
Impressum
Hope
Der Beagle
Rassestandard
Unsere Hunde
Clair
Uca
Fee
Notfälle
Zucht und Züchter
Bilder
Zucht
Unsere Zuchthündinnen
N-Wurf
M-Wurf
L-Wurf
K-Wurf
J-Wurf
I-Wurf
H-Wurf
G-Wurf
F-Wurf
E-Wurf
D-Wurf
C-Wurf
B-Wurf
A-Wurf
Kontakt
Links
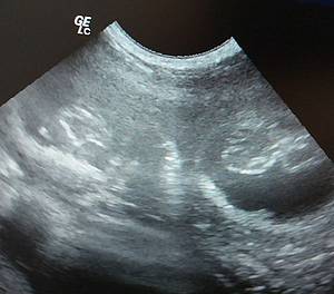
Erste Fotos von J-Wurf
15. April 2017
Etwa so groß wie eine Walnuss sind die werdenden Beagle.
In diesem Alter darf man noch nicht zu viel erwarten.
<- Zurück zu: Neuigkeiten
Impressum
Links
Gästebuch
Kontakt
© 2025 Heling